Skip to Main Content
Rivier University

Site Navigation

  • Innovations
    • Companies
    • Technologies
  • Technology Transfer
    • The Licensing Process
    • Reports of Invention
    • Material Transfer Agreements
    • Non-Disclosure Agreements
  • Funding
    • Industry-Sponsored Research
    • Translational Funding
    • Startup Funding
  • Collaborations
    • Corporate Partnerships
    • Licensing
    • Investments
    • Sponsorship
  • Programs & Services
    • FastForward
    • FastForward U
    • Social Innovation Lab
    • Technology Development
    • Commercialization Academy
    • Mentorship
    • JHTV Digital Library
    • Diversity in Innovation

Audience Navigation

  • Faculty & Inventors
  • Students
  • Industry
  • Investors
Open Menu

You are here:

  1. Home
  2. News

Technologies

  • All Categories
  • Collaborations
  • Funding
  • News
  • Social Innovation Lab
  • Startups
  • Students
  • Technologies
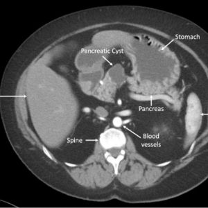
  • Test Shown to Improve Accuracy in Identifying Precancerous Pancreatic Cysts

    Technologies
  • Loose RNA Molecules Rejuvenate Skin, Researchers Discover

    Technologies
  • Researchers Advance Search For Laboratory Test to Predict Spread of Breast Cancer

    Technologies
  • Johns Hopkins Researchers Develop a Road Map to Stem Cell Development

    Technologies
  • Johns Hopkins Technology that Integrates Earlier Cancer Detection into Routine Medical Care Receives Record Venture Investment

    Technologies
  • Stem Cells Make More ‘Cargo’ Packets to Carry Cellular Aging Therapies

    Technologies
  • Scientists Advance Creation of ‘Artificial Lymph Node’ to Fight Cancer, Other Diseases

    Technologies
  • LifeSprout Founders Show Development of Soft Tissue Substitute With Fewer Side Effects

    Technologies
  • Experimental Drug Delivers One-Two Punch to Vision Loss

    Technologies
  • Glowing Tumors Show Scientists Where Cancer Drugs Are Working

    Technologies
  • Mini Microscope is the New GoPro for Studies of Brain Disease in Living Mice

    Technologies
  • Speakers Urge Faculty Members to ‘Think Big’ at Engineering and Medicine Research Retreat

    Technologies

News Pagination

  • Previous Page
  • Next Page
Johns Hopkins Technology Ventures
1812 Ashland Avenue Suite 110 Baltimore MD 21205
Get Directions 410-614-0300
Contact Us

Footer Navigation

  • News
  • Support JHTV
  • Events
  • Staff Directory
  • Working at JHTV
  • Accessibility
  • JHTV Legal Disclaimer

Social Navigation

  • Facebook
  • Twitter
  • LinkedIn
  • Newsletter

© Johns Hopkins Technology Ventures 2025

Johns Hopkins Technology Ventures

Site Menu

Global Navigation

  • Innovations
    • Companies
    • Technologies
  • Technology Transfer
    • The Licensing Process
    • Reports of Invention
    • Material Transfer Agreements
    • Non-Disclosure Agreements
  • Funding
    • Industry-Sponsored Research
    • Translational Funding
    • Startup Funding
  • Collaborations
    • Corporate Partnerships
    • Licensing
    • Investments
    • Sponsorship
  • Programs & Services
    • FastForward
    • FastForward U
    • Social Innovation Lab
    • Technology Development
    • Commercialization Academy
    • Mentorship
    • JHTV Digital Library
    • Diversity in Innovation

Constituent Navigation

  • Faculty & Inventors
  • Students
  • Industry
  • Investors